Current Issue Volume 38; 2026
prev
next
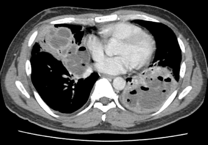
- Case ReportMar 11, 2026 Severe bilateral hydrocarbon pneumonitis requiring surgical drainage following accidental aspiration of industrial cleaning solvent in a seafarer: a case report Sang-Heon Cho, Jong Gill Jeong Ann Occup Environ Med 2026;38:e8.
- Case ReportFeb 26, 2026 Multiple chemical sensitivity triggered by an automobile mechanic's indirect exposure to volatile organic compounds in the Republic of Korea: a case report Dong-Hoon Cheon, Yoon-Ji Kim, Dongmug Kang, et al. Ann Occup Environ Med 2026;38:e7.
- Original ArticleFeb 9, 2026 Acute health effects of accidental exposure to lithium hydroxide at a battery material production plant Chul Gab Lee, Soo Hyeong Park, Ji Won Kang, et al. Ann Occup Environ Med 2026;38:e6.
- Case ReportFeb 9, 2026 Case series: from ventilation failure to substitution success in occupational lead poisoning at a Korean indoor firing range Chul Gab Lee, Soo Hyeong Park Ann Occup Environ Med 2026;38:e5.
- Original ArticleJan 8, 2026 Association between outdoor clothing use and serum perfluoroalkyl substances (PFAS): Korean National Environmental Health Survey cycle 4 Keon Woo Kim, Jisoo Kang, Seong-yong Cho, et al. Ann Occup Environ Med 2026;38:e4.
- ReviewJan 8, 2026 Impacts of heat on sleep quality among heat-exposed workers: a systematic review Maarthi Raja, Vidhya Venugopal, D. C. Mathangi, et al. Ann Occup Environ Med 2026;38:e3.
- Original ArticleJan 8, 2026 Development of criteria for health examination of high-risk occupational groups and application to female fishers: Delphi study Hye-min Kim, Jungwon Kim, Kunhyung Kim, et al. Ann Occup Environ Med 2026;38:e2.
- Original ArticleJan 8, 2026 Work-life balance and effort-reward imbalance, and their interaction, associated with presenteeism among Korean wage workers: Based on 6th Korean working conditions survey Sang-Hyeon Kim, Eun-Chul Jang, Soon-Chan Kwon, et al. Ann Occup Environ Med 2026;38:e1.
AOEM Photos & Video clips
-
Severe bilateral hydrocarbon pneumonitis requiring surgical drainage following accidental aspiration of industrial cleaning solvent in a seafarer: a case report
Sang-Heon Cho, Jong Gill Jeong
Ann Occup Environ Med 2026;38:e8.
-
Occupational skin diseases among cathode material workers in the Korean lithium-ion battery industry: a descriptive case series
Hwa-Yeon Lee, Dong-Hee Koh, Junhyeok Choi, et al.
Ann Occup Environ Med 2025;37:e29.
-
Unveiling a hidden hazard: lead poisoning from hobbyist activities and its long-term impact
Chiara Pucci, Luca Tomassini, Marco dell’Omo, et al.
Ann Occup Environ Med 2025;37:e15.
-
Challenges in diagnosing occupational allergic contact dermatitis: a case report
Jun Fai Yap, Kim Sui Wan, Muhammad Fadhli Mohd Yusoff, et al.
Ann Occup Environ Med 2025;37:e7.
- MOST CITED
-
- The impact of long working hours on daily sodium intake14
- Data profile: Korean Work, Sleep, and Health Study (KWSHS)13
- Association between serum perfluoroalkyl substances concentrations and non-alcoholic fatty liver disease among Korean adults: a cross-sectional study using the National Environmental Health Survey cycle 48
- Effect of job satisfaction on depression after adjusting for satisfaction with other life domains8
- MOST VIEWED
-
- Challenges in diagnosing occupational allergic contact dermatitis: a case report24,394
- Burnout, stress, and their correlates among bank employees of South India: a cross-sectional study15,749
- Cooking oil fume exposure and Lung-RADS distribution among school cafeteria workers of South Korea14,743
- Occupation classification model based on DistilKoBERT: using the 5th and 6th Korean Working Condition Surveys11,565
- MOST DOWNLOAD
-
- Challenges in diagnosing occupational allergic contact dermatitis: a case report1,810
- Impacts of heat on sleep quality among heat-exposed workers: a systematic review121
- Work-life balance and effort-reward imbalance, and their interaction, associated with presenteeism among Korean wage workers: Based on 6th Korean working conditions survey133
- Association between outdoor clothing use and serum perfluoroalkyl substances (PFAS): Korean National Environmental Health Survey cycle 4110
Accepted articles
-
Occupational Diseases in Mongolia: A Retrospective Analysis (1975–2023) with a 30-Year Trend Study Sansartsetseg Tsendjav, Myagmarchuluun Sainnyambuu, Otgonbayar Damdinbazar, et al.
-
Risk of sleep disturbance associated with work-related activities during free time in South Korea: a cross-sectional study with mediation analysis Ohwi Kwon, Hye-Eun Lee, Mo-Yeol Kang
-
Factors associated with work-related musculoskeletal disorders using machine learning approaches: a systematic review Muhammad Irfan Mohd Sallehhuddin, Siti Munira Yasin, Mohamad Rodi Isa, et al.
-
Association between working ≥10 hours per day and satisfaction with work environment among wage workers in Korea: a cross-sectional study using data from the 7th Korean Working Conditions Survey Rae-Yun Kim, Dong-Woo Kim, Yoon-Soo Jang, et al.
KSOEM




























